http://demedicina.com
¿Qué es un edema? Qué los causa? ¿Qué tipos de edemas existen? Si quieres saber más sobre el edema, en Demedicina.com te lo contamos a continuación. Vamos a analizar lo que es un edema, los tipos, causas, síntomas y el tratamiento.

Un edema es la inflamación o hinchazón causada por la retención de líquido. Una acumulación excesiva de líquido en las células que puede darse en distintas zonas del cuerpo. Los edemas en tobillos, piernas, pies y manos son los más comunes.
Los edemas pueden ser localizados o generalizados, pueden aparecer de repente aunque suelen hacerlo de forma paulatina.
Si
hay una retención de líquidos esto afecta a los capilares que pueden
aumentar la presión en la zona por lo que se produce lo que hemos
definido como edema y cuyas causas para dicha retención pueden ser:
La inactividad física. La aparición de edemas es más frecuente en personas que apenas realizan actividad física.
Aumento de peso: El aumento de peso se relaciona con la mayor incidencia de edemas.
Estar sentado o de pie varias horas sin moverse. En el trabajo si estás mucho tiempo de pie o sentado se
puede producir con mayor facilidad el edema.
Algunos tipos de edemas como el de córnea pueden tener un componente genético.
La cirugía, después de una operación quirúrgica puede darse el edema.
El calor combinado con el esfuerzo físico puede dar lugar al edema. Cuando existe una temperatura elevada el
cuerpo es menos eficiente para disipar el agua de los tejidos sobre todo alrededor de los tobillos.
Estar en grandes alturas. Es conocido el llamado el edema pulmonar o edema cerebral que pueden llegar a sufrir los alpinistas cuando están escalando montañas a gran altitud.
Embarazo, durante el embarazo la combinación de hormonas liberadas para retener líquido suele hacer que se presente edema sobre todo en los tobillos. Una mujer embarazada retiene más sodio y agua que cuando no está embarazada. Además el útero comienza a aumentar su tamaño y a veces comprime la vena cava inferior causando la obstrucción de las venas femorales, lo que lleva al edema. En el embarazo la posibilidad de formarse coágulos aumenta.
Una de las causas de edema de carácter grave en el embarazo es la eclampsia, o hipertensión inducida por el embarazo.
La píldora anticonceptiva , cualquier medicación que incluya los estrógenos en su composición puede causar retención de líquidos. Aunque no todas las mujeres que toman la píldora lo sufren si es un efecto secundario posible.
Menopausia. En la menopausia y después hay cambios hormonales que también pueden incidir en la retención de líquidos. Los fármacos de terapia hormonal sustitutiva también pueden causar edema.
Consumo excesivo de sal En personas que tienen factores de riesgo para el edema como exceso de peso, poco ejercicio físico consumir exceso de sal aumenta el riesgo de aparición del edema.
Quemaduras, cuando se ocasiona una quemadura, la piel reacciona formando un edema o hinchazón localizada.
Desnutrición o dieta inadecuada, un bajo consumo en vitaminas como la B1, la B5 y B6 pueden contribuir a la retención de líquidos. Los niveles bajos de albúmina tienen también relación.

Hay distintos tipos de edema, los más comunes son
El edema periférico
Se localiza en la zona de los pies, tobillos, piernas, brazos o manos
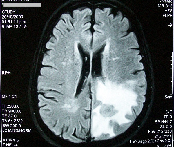
El edema cerebral
Se desarrolla en y alrededor del cerebro.
El edema pulmonar
Ocurre generalmente cuando existe una insuficiencia cardíaca, el corazón deja de funcionar y la presión en las venas que pasan por el pulmón se eleva. Hay una acumulación en los alveolos pulmonares que produce dificultad para respirar.
El edema del ojo
Se desarrolla dentro y alrededor del ojo. Ejemplo el edema corneal, el edema macular, el edema periorbital.
Existen
diferentes tipos de edemas, dependiendo de la zona del cuerpo donde se
produzcan. Unos son de mayor gravedad que otros, por ejemplo un edema
cerebral es, en principio, potencialmente más grave que uno en el pie ya
que afecta a un órgano vital.
Estos son algunos de los síntomas que producen los edemas:
El primero y más claro es el dolor e hinchazón en la parte del cuerpo afectada, que puede provocar dificultades o dolor para vestirse, por ejemplo, o para ponerse los zapatos. Normalmente, la zona afectada por el edema provoca una hendidura en le piel al ser presionada, salvo en el caso de los edemas más graves. Asimismo, los edemas pueden producir dolor en las articulaciones y dificultar la movilidad en brazos, piernas, muñecas y dedos. Generalmente, los edemas también vienen acompañados de una reducción en la cantidad de orina expulsada.
En el caso de los edemas pulmonares, el síntoma más claro es el de ausencia de aire. Existen diferentes niveles de gravedad en lo referente a edemas pulmonares. Incluso una persona puede tener uno y seguir realizando actividad física sin problemas. En los casos más comunes produce sensación de asfixia o altos niveles de fatiga. Los casos más graves pueden dar lugar a complicaciones severas, como el encharcamiento de los pulmones. Los edemas pulmonares graves y repentinos suelen producirse como antesala al infarto.
Los edemas cerebrales
son más complicados, en tanto en cuanto afectan a un órgano tan vital
como el cerebro y puede verse afectado el sistema nervioso central. La
gravedad de los síntomas viene marcada por el lugar del edema y de su
tamaño. Los pacientes que sufren edema cerebral pueden sufrir síntomas
como dolores de cabeza esporádicos y agudos, migrañas, mareos, sensación
de desorientación, náuseas, pérdida de memoria y un largo etcétera. En
los casos más graves puede llegar a provocar la muerte.
Cuidado si estáis embarazadas
y tenéis un edema, hay que tratarlo porque sino la piel sigue
estirándose y esto puede provocar muchos problemas. Lo más problemático
es si tenemos un edema y nos cuesta respirar, en ese momento tenéis que llamar rápidamente al médico.
Os vamos a dar cuatro consejos para bajar el hinchazón, pero siempre debéis acudir al médico cuando tengáis un edema.
¿Qué es un edema? Qué los causa? ¿Qué tipos de edemas existen? Si quieres saber más sobre el edema, en Demedicina.com te lo contamos a continuación. Vamos a analizar lo que es un edema, los tipos, causas, síntomas y el tratamiento.
Qué es un Edema
Los edemas pueden ser localizados o generalizados, pueden aparecer de repente aunque suelen hacerlo de forma paulatina.
Causas del edema
La inactividad física. La aparición de edemas es más frecuente en personas que apenas realizan actividad física.
Aumento de peso: El aumento de peso se relaciona con la mayor incidencia de edemas.
puede producir con mayor facilidad el edema.
Algunos tipos de edemas como el de córnea pueden tener un componente genético.
La cirugía, después de una operación quirúrgica puede darse el edema.
El calor combinado con el esfuerzo físico puede dar lugar al edema. Cuando existe una temperatura elevada el
cuerpo es menos eficiente para disipar el agua de los tejidos sobre todo alrededor de los tobillos.
Embarazo, durante el embarazo la combinación de hormonas liberadas para retener líquido suele hacer que se presente edema sobre todo en los tobillos. Una mujer embarazada retiene más sodio y agua que cuando no está embarazada. Además el útero comienza a aumentar su tamaño y a veces comprime la vena cava inferior causando la obstrucción de las venas femorales, lo que lleva al edema. En el embarazo la posibilidad de formarse coágulos aumenta.
La píldora anticonceptiva , cualquier medicación que incluya los estrógenos en su composición puede causar retención de líquidos. Aunque no todas las mujeres que toman la píldora lo sufren si es un efecto secundario posible.
Menopausia. En la menopausia y después hay cambios hormonales que también pueden incidir en la retención de líquidos. Los fármacos de terapia hormonal sustitutiva también pueden causar edema.
Quemaduras, cuando se ocasiona una quemadura, la piel reacciona formando un edema o hinchazón localizada.
Desnutrición o dieta inadecuada, un bajo consumo en vitaminas como la B1, la B5 y B6 pueden contribuir a la retención de líquidos. Los niveles bajos de albúmina tienen también relación.
Enfermedades que pueden Causar Edema
- Enfermedad renal
- Diabetes
- Insuficiencia cardíaca
- Enfermedad pulmonar crónica, como:Enfisema, Bronquitis crónica, sarcoidosis, asma, EPOC
- Enfermedades del hígado como la cirrosis.
- Alergias
- Artritis
- Tumor cerebral
- Enfermedades del tiroides
- Golpes en la cabeza
Tipos de Edema
El edema periférico
Se localiza en la zona de los pies, tobillos, piernas, brazos o manos
El edema cerebral
Se desarrolla en y alrededor del cerebro.
El edema pulmonar
Ocurre generalmente cuando existe una insuficiencia cardíaca, el corazón deja de funcionar y la presión en las venas que pasan por el pulmón se eleva. Hay una acumulación en los alveolos pulmonares que produce dificultad para respirar.
El edema del ojo
Se desarrolla dentro y alrededor del ojo. Ejemplo el edema corneal, el edema macular, el edema periorbital.
¿Qué síntomas producen los edemas?
Estos son algunos de los síntomas que producen los edemas:
El primero y más claro es el dolor e hinchazón en la parte del cuerpo afectada, que puede provocar dificultades o dolor para vestirse, por ejemplo, o para ponerse los zapatos. Normalmente, la zona afectada por el edema provoca una hendidura en le piel al ser presionada, salvo en el caso de los edemas más graves. Asimismo, los edemas pueden producir dolor en las articulaciones y dificultar la movilidad en brazos, piernas, muñecas y dedos. Generalmente, los edemas también vienen acompañados de una reducción en la cantidad de orina expulsada.
En el caso de los edemas pulmonares, el síntoma más claro es el de ausencia de aire. Existen diferentes niveles de gravedad en lo referente a edemas pulmonares. Incluso una persona puede tener uno y seguir realizando actividad física sin problemas. En los casos más comunes produce sensación de asfixia o altos niveles de fatiga. Los casos más graves pueden dar lugar a complicaciones severas, como el encharcamiento de los pulmones. Los edemas pulmonares graves y repentinos suelen producirse como antesala al infarto.
Diagnóstico y Tratamiento de un Edema
Lo primero que hay que hacer cuando tenemos un edema es acudir al médico para que nos de un diagnóstico del tipo de edema y según eso el mejor tratamiento para curarlo. Lo más seguro es que nos mande un medicamento, un diurético o “pastilla para orinar”.Os vamos a dar cuatro consejos para bajar el hinchazón, pero siempre debéis acudir al médico cuando tengáis un edema.
- Para bajar el hinchazón lo primero que tenéis que hacer es tener las piernas en alto, levantar las piernas cuando estéis sentados o recostados.
- Cuando el edema está en las piernas os sentará muy bien usar medias de soporte, estas medias presionan la pierna para impedir que acumule líquido en tobillos y piernas, se venden en farmacias.
- El movimiento es bueno, no estéis mucho tiempo sentados y parados.
- Limitad la cantidad de sal en las comidas, pero consultar al médico y seguid sus indicaciones.
LINFEDEMA
De acuerdo con la información de esta sección de la Página de los
Doctores Casley-Smith: http://www.lymphoedema.org.au/
LINFEDEMA ; ocurre cuando el sistema linfático está dañado o no funcional correctamente. Esto conlleva un hinchazón crónico de una o varias partes del cuerpo.
El SISTEMA LINFÁTICO; es similar al sistema sanguíneo, y tiene igual cantidad de vasos, pero contienen linfa, que es de color claro y no se puede ver (solamente visible si se inyecta una sustancia colorante especial). Este sistema se diferencia del sanguíneo porque éste circula a través de todo el cuerpo, mientras que la Linfa solamente se drena de cada una de las partes. Los vasos linfáticos drenan el exceso de proteína y agua que escapa de la sangre en cantidades pequeñas, además de algunas sustancias creadas en los tejidos, o cualquier sustancia extraña que las penetre. El Sistema Linfático tiene su comienzo y está presente en todos los tejidos desde unos minúsculos vasos que gradualmente se juntan formando otros más grandes. La linfa se bombea dentro y a través de estos vasos por el movimiento de los músculos adyacentes, y por las contracciones de las paredes de los vasos linfáticos más grandes. Finalmente el sistema Linfático se vacía en la sangre ( esto ocurre principalmente en la parte baja del cuello) En su camino a través del sistema Linfático, la Linfa se filtra en los nodos Linfáticos (ganglios Linfáticos). Estos filtran toda sustancia externa como las bacterias, comenzando así la reacción inmunológica necesaria.
EDEMA: El sistema Linfático ayuda a extraer el exceso de fluido y proteínas que extravasan los tejidos de los vasos sanguíneos dañados, como ocurre en una inflamación( eje: una quemadura o una lesión). Si no son capaces de extraerlo totalmente, el miembro se hincha (un edema). No obstante éste tipo de hinchazón es solamente temporal, porque los tejidos sanan, y los vasos sanguíneos ya no extravasan en exceso.
LINFEDEMA: Ahora bien, si el Sistema Linfático está dañado o bloqueado, la proteína continuara entrando dentro del tejido a través de los capilares sanguíneos de forma habitual, formándose así un exceso donde éste sistema debería estar drenando. La acumulación de proteína en los tejidos causa un exceso de fluido entre ellos, y los tejidos comienzan a hincharse.
El hinchazón disminuye la oxigenación de los tejidos, e interfiere en su funcionamiento normal, haciendo que una lesión se cure de una forma más lenta de lo normal. Este exceso de proteína también actúa como un estímulo para una inflamación crónica. Uno de los resultados de esto es que se forme un exceso de tejido enfibrosado. La inflamación crónica causará que más capilares sanguíneas se formen y se dilaten. Esto hará que se sienta calor en el miembro afectado.
Este calor combinado con la proteína estancada, se convierte en un nido perfecto para el desarrollo de bacterias (dermato-lymphangio-adentitis). El paciente se encontrara muy enfermo, con constantes infecciones, y con la necesidad de hospitalización. Las infecciones por hongos también son muy frecuentes, y a menudo difíciles de tratar. Estas infecciones ponen una adicional carga a la ya existente, empeorando aún mas el Linfedema. Cualquier infección o inflamación por una intervención o incluso una quemadura de sol, empeorara el Linfedema.
A menudo se considera que el Linfedema se da solamente en brazos y piernas, pero cualquier órgano o región del cuerpo puede padecerlo: genitales, pulmones, intestino, el hígado a consecuencia de una hepatitis crónica, etc.
El Linfedema tiene además otros efectos sobre el paciente: disminuye su movilidad, causa situaciones de vergüenza hacia los demás, esto puede conllevar depresiones, causando un empeoramiento del estado físico y Calidad de Vida del paciente. Si el Linfedema es grave, especialmente si más de un miembro es afectado, el paciente tiene una sensación de mucha pesadez de forma constante.
Este estado puede confundirse con obesidad, pero el ponerse a dieta es inútil si es un Linfedema en sí, no obstante, si existe obesidad, ponerse a dieta es recomendable. Aunque solamente se padezca en un solo miembro, el exceso de peso puede causar torpeza, haciendo que el miembro afectado esté más expuesto a una herida, y consecuentemente a una infección bacterial.
El drenaje Linfático de las piernas es más difícil que el de los brazos, porque el caminar es mas pesado, y el exceso de peso lo desaconseja. Por ello el Linfedema en las piernas es peor que los de los brazos.
Cuando aparece por primera vez el Linfedema, éste quedará marcado( fóvea), si el miembro afectado es presionado con un dedo. A medida que gradualmente el Linfedema aumenta, ya no se marca el miembro afectado al ser presionado. Si la enfermedad persiste durante años, la inflamación empeora, y ocurren cambios en la piel, hay una perdida de vello, y una alteración en las uñas. La piel puede volverse muy gruesa, con grandes pliegues y úlceras: Elefantiasis. Aunque poco frecuente, algunos pacientes con Linfedema crónico desarrollan un: Linfangiosarcoma (Cáncer : Stewart-Treves Syndrome)
Cualquier Linfedema que se deje sin tratar, gradualmente irá por este fatídico camino.
SÍNTOMAS DEL LINFEDEMA
Sensación de tirantez y pesadez en los miembros afectados.
Dolores como si se reventara el miembro afectado.
Dolores en las nalgas (Linfedema en piernas) o detrás de los hombros (Linfedema de brazo).
Hormigueo en los miembros afectados.
Dolor punzante atravesando el miembro afectado.
Sensación de tensión y flojedad en el codo o parte posterior de la rodilla.
Dolor en las articulaciones (eje. el codo, rodilla y tobillo), parecido a la artrosis, y frecuentemente diagnosticada como tal.
Sensación de entumecimiento en el empeine de un pie afectado.
Hinchazón del abdomen si una pierna está afectada o Linfedema extendida.
El miembro o área afectada tiene una sensación de más calor que las demás partes, pero no está roja, que indica además una posible infección.
Gradual aumento en el tamaño del miembro afectado. En algunos Linfedemas Primarios puede haber aumento, pero sin padecer ningún dolor en particular, simplemente una sensación de pesadez en el miembro afectado. No obstante cualquier infección es dolorosa debido al rápido aumento en el tamaño del miembro afectado y un empeoramiento del Linfedema que esto produce.
Las articulaciones, principalmente en la rodilla, también se pueden volver Linfadematosas- pero da la impresión como si fuese artrosis ( y muchas veces diagnosticadas como tal)- que en un sentido también lo es.
Algunas veces la Linfa puede traspasar a través de la piel, siendo esto particularmente vulnerable para las infecciones.
CAUSAS DE LINFEDEMA
CLASIFICACIÓN : PRIMARIO / SECUNDARIO
LINFEDEMA PRIMARIO (FALTA DE VASOS LINFÁTICOS)
La Enfermedad de Linfedema Primario está catalogada dentro de las llamadas Enfermedades Raras o Poco Frecuentes, y se diferencia del tipo más frecuente, Linfedema Secundario, porque ésta se contrae debido a una lesión en el sistema Linfático (explicado en el apartado siguiente). Se estima que 1 de cada 6000 personas nacen con Linfedema Primario, afecta dos veces más a mujeres que hombres, y aparece en las piernas cuatro veces más que en los brazos. En un 70% de los casos afecta solamente una pierna, empezando primero por el pié. No obstante también puede afectar ambas piernas, incluyendo muslos, torso, genitales, brazos, y cara. Aquí ocurre que simplemente hay muy pocos vasos Linfáticos; algunas veces hay muchos, pero están demasiado difusas, y no bombean correctamente; y algunas veces es la combinación de ambas causas. Aquí el Linfedema puede aparecer antes del nacimiento ( connatal Lymphoedema ), durante la pubertad, que es el caso más frecuente en el Linfedema Primario ( lymphoedema praecox ), o aparecer más tarde en la vida a partir de los 30-40 en adelante ( lymphoedema tard ). Ocasionalmente También puede desencadenarse un Linfedema Primario después de haber contraído un Linfedema Secundario en otra parte del cuerpo: ejemplo. pos mastectomía (que es secundario) pudiendo iniciarse una Linfedema Primario en una pierna, o en el mismo lado.
LINFEDEMA SECUNDARIA (VASOS LINFÁTICOS SECCIONADOS U OBSTRUIDOS)
Linfedema secundario ocurre cundo el drenaje Linfático está bloqueado o seccionado debido a:
CIRUGÍA; especialmente debido a un carcinoma, cuando extraen nodos linfáticos o mucho tejido( eje. una operación por un melanoma) cuando se tiene que cortar muchos vasos Linfáticos.
RADIOTERAPIA; que destruye cualquier tumor, y asimismo destruye los nodos Linfáticos, bloqueándolos con tejido fibroso.
TRAUMA ACCIDENTAL; puede desgarrar los vasos linfáticos que pueden no volver a unirse cuando lo hacen los vasos sanguíneos; cualquier tejido fibroso causado por una rotura, puede mas tarde contraerse y constreñirlas.
PARÁSITOS; (eje. larvas filariales) bloquean el drenaje Linfático. El hinchazón puede ocurrir cuando las larvas crecen, dañan los vasos Linfáticos, y destruyen sus nodos Linfáticos. Esto normalmente ocurre después de algunos años después de que las larvas se inyectasen, cuando éstas mueren y se destruyen, causan una inflamación que bloquea el sistema Linfático.
PARÁLISIS; en un miembro entorpece el bombeo del sistema Linfático, causando un edema por su reposo.
INSUFICIENCIA VENOSA CRÓNICA; a menudo implica a los vasos Linfáticos que van juntas, asociando eventualmente Linfedema al edema venoso.
LIPEDEMA; ( esto no es en sí Linfedema, pero puede ser causa de un Linfedema secundario)
CUANDO APARECE Y A QUE RITMO
Aparte de la fase primaria aguda que ocurre poco después del bloqueo, y que después desaparece, una vez que empieza el Linfedema, progresivamente empeora su estado. Este empeoramiento es generalmente más lento en el Linfedema primario, y es más rápido en el Linfedema secundario. Normalmente suele ser un proceso constante y estable, únicamente si se produjera alguna inflamación adicional ( ejemplo: infección, lesión, quemadura), es cuando la situación empeora más rápidamente.
GRADOS EN EL LINFEDEMA
1º GRADO, aquí el hinchazón minará, aparecerá el signo de Fóvea, si la piel es presionado, y se reduce si el miembro afectado es elevado.
2º GRADO, aquí tiene mucha más exceso de tejido enfibrosado, por lo que no surge la marca a la presión, y no se reduce con la elevación del miembro afectado( ejemplo: en cama toda la noche, o durante 2-3 días). El miembro afectado endurece gradualmente por el exceso del tejido enfibrosado, y debido a la inflamación crónica.
3º GRADO, aquí se denomina ELEFANTIASIS, tiene cambios en el espesor de la piel con muchos bultos y prominencias sobresalientes. Cualquier Linfedema, tanto Primarios como Secundarios, que no reciba unos cuidados y atención médica adecuadas, pueden gradualmente llegar a éste estado de grandes desfiguraciones y discapacidad.
LOCALIZACIÓN Y ÁREAS AFECTADAS
LINFEDEMA PRIMARIO Este puede afectar desde solamente una parte de un miembro, hasta muchas partes del cuerpo, incluso el intestino( causando lymphagiectasia intestinal ), y los pulmones. Si una pierna está afectada, probablemente la otra también padezca drenaje linfático insuficiente, teniendo también el riesgo de adquirir Linfedema. Existe también la situación de Linfedema general extendida por todo el cuerpo y miembros. A menudo el paciente es diagnosticado como obeso, pero la combinación de dietas sucesivas demuestran ningún resultado para el paciente (aun siguiendo un cumplimiento estricto de la dieta).
LINFEDEMA SECUNDARIO Aquí esto ocurre en las regiones mas alejadas del tronco( distal), y se drena a través de los vasos linfáticos dañados, por eje. si los nodos linfáticos han sido extraídos debido a cirugía, o se hacen enfibrosado debido a la radioterapia. Por ello, ésta suele aparecer en el brazo después de una mastectomía, en un brazo o pierna después de una operación por una melanoma, o en una o ambas piernas después de cirugía por cáncer en la región pélvica. También es bastante frecuente que aparezca después de un accidente grave (por eje. de motocicleta) que es causa que muchos vasos linfáticos sean dañados.
En el Linfedema filariático, el hinchazón ocurre dependiendo dónde finalmente se alojaron las larvas filariales. Si éstas se asientan en los nodos que drenan una pierna, ésta sufrirá el hinchazón. Si se aloja en los nodos más allá a lo largo del Sistema Linfático, ambas piernas y la región genital pueden quedar afectadas. El Linfoedema Filarial también puede aparecer en los brazos ( en raras ocasiones).
Aunque normalmente se considera Linfedema al que afecta sólo a un miembro, sobre todo en la piel y tejido subcutáneo, también pueden afectarse otras regiones y órganos. Es bastante común padecer Linfedema también en las articulaciones- causando una artritis linfostática; una vez el resto del Linfoedema es tratado, ésta también mejora. El intestino se mencionó bajo Linfedema Primario, pero de vez en cuando puede aparecer en los Linfedema Secundarios. También es probable que otros órganos internos puedan padecer Linfoedema, pero estos raramente se diagnostican, porque aún no se han desarrollado un mecanismo adecuado para ello, aún así, el hinchazón puede sentirse o ser visto con el TAC.
NUMERO DE AFECTADOS
El número de personas afectadas con Linfedema son muchas más de las que se creen. En Australia se hizo una estadística en el año 1995, con una población de 15 millones: dicha estadística contaba que solamente los casos de Linfoedema post operatorios por mastectomía, estos afectaban o afectaría a unas 100,000 personas. De éstas, unas 10,000 lo padecerían de forma severa. A este número, había que añadirle también todas los demás Linfedemas, como los que aparecen después de otro tipo diferentes de intervenciones quirúrgicas, los debido a traumatismos accidentales, los debidos a enfermedades venosas crónicas, y todos los que padecen Linfedema Primario. Con estos datos, se calculó que habría aproximadamente 300,000 personas en Australia en aquél momento, que padecían algún tipo distinto de Linfoedema.
(En España al no haber una trayectoria de estudio y diagnóstico de Linfedemas, no existe una estadística fiable de cuantos enfermos puede haber. Si aplicamos la misma regla utilizada en Australia para calcular y estimar el número de afectados, nos da que en España con una población de alrededor de unos 40 millones, puede haber aproximadamente 800,000 personas afectadas de algún tipo y grados distinto de Linfedema, y en GALICIA alrededor de 54,000 enfermos.)
En 1982, La OMS, Organización Mundial de Salud, estimó que 90 millones de personas padecían Linfedema filariático, elefantiasis, y hidrocele. Se estima que puede haber 500 millones de personas sufriendo de algún tipo de Linfedema en el mundo.
SU DIAGNOSTICO
linfoescintigrafía sigue todavía siendo el medio mejor y más seguros que nosotros tenemos de medición de la función linfática y nos da una imagen bastante ajustada del sistema. El Resonancia Magnética y el TAC son muy buenos para observar los nodos y para ver edema y fibrosis (respectivamente). No obstante, estas pruebas realmente solo son necesarias en casos difíciles.
En el Congreso Internacional de Linfología -Washington, 1993, la mayoría de Especialistas estaba de acuerdo que el diagnóstico clínico era suficiente en un 90 por ciento de los casos.
Edemas circulatorios.
Edemas circulatorios. A
diferencia de los inflamatorios, el edema circulatorio (como los renales
y metabólicos) es blando, pálido, indoloro y depresible por el dedo,
que deja en él su huella. Se caracteriza también por la facilidad con
que se generaliza, acompañándose de edema de las cavidades (ascitis,
hidrotórax, hidropericardias) y constituyendo el anasarca, la antigua
hidropesía. En presencia de un edema de este género, localizado o
anasárquico, hay que pensar en las tres posibles causas citadas:
circulatorias, renales, metabólicas y tóxicas, que ahora voy a examinar.
En el edema generalizado hay una fase previa (preedema), en la que la
retención del agua por los tejidos sólo se advierte por leves edemas de
decúbito (un poco aumentados los tobillos por la noche; muy marcadas las
huellas de las sábanas y almohadas en la piel, al despertarse);
párpados hinchados; y sobre todo, por el aumento de peso, sin que se
descubra aún la infiltración edematosa propiamente dicha; por eso en los
cardiacos y nefríticos observados en las clínicas, el estudio de la
curva de peso denuncia, por el aumento de éste, la aparición del
trastorno, antes de que el edema aparezca; y por la pérdida de peso se
acusa la mejoría, antes de que sea visible la fusión de la infiltración.
A) Edemas cardiacos. El edema es, con
frecuencia, uno de los primeros síntomas de la insuficiencia congestiva
del miocardio (Þ). Este edema cardiaco se caracteriza por su
localización inicial en los tobillos. Hay muchos cardiacos que desde
mucho tiempo antes de saber que lo eran, presentaban únicamente esas
pequeñas hinchazones de los pies, al caer de la tarde, antes
mencionadas. La agravación de la insuficiencia cardiaca hace que el
edema se extienda a las piernas, a la región genital —escroto o vulva—
donde se hace muy llamativo; a las paredes del vientre y al resto de la
piel; y, finalmente, a las cavidades (anasarca). En el anasarca y, en
general, en todas las formas intensas y permanentes del edema cardiaco,
pueden colaborar las alteraciones renales concomitantes. Una vez
admitido el origen cardiaco, hay que pasar al diagnóstico diferencial de
las distintas lesiones que pueden producir la insuficiencia miocárdica
derecha o global (Þ). Pero hay que recordar que el «estasis de aflujo»
pericárdico —por constricción o derrame— sin verdadera insuficiencia «de
miocardio», determina también edemas congestivos semejantes. Igualmente
por fibrosis endocárdica.B) Edemas por obstrucción o insuficiencia venosa. Estos edemas se localizan en el territorio correspondiente a la vena obturada o comprimida y se acompañan de dilatación, simple o varicosa, de la vena por debajo del obstáculo. A veces la obstrucción venosa se acompaña de flebitis y el edema tiene los caracteres de la flegmasía alba dolens (Þ). Clínicamente, hay que distinguir el edema venoso de la cara, el de los miembros superiores y el de los miembros inferiores.
1. Edema de la cara. Generalmente, se acompaña de edema del cuello y del hombro (edema en esclavina). Es, más o menos, cianótico; muy cianótico en el corazón pulmonar (Þ). En muchos casos de insuficiencia cardiaca, el edema generalizado puede ser muy marcado en la cara. Pero el edema aislado de la cara es típico de la obstrucción de la vena cava superior por la compresión de lesiones mediastínicas y, mucho más raramente, por trombosis de la vena. Se acompaña de los demás signos del síndrome mediastínico (Þ).
2. Gangrena del miembro superior:
a) El edema de todo el brazo y el hombro y parte del cuello se debe a la obliteración de la vena innominada del lado correspondiente, por las mismas causas que la obstrucción de la vena cava (procesos mediastínicos, trombosis).
b) Ante el edema estrictamente localizado en el brazo hay que buscar la causa en la compresión u obstrucción de la vena axilar; la más importante causa sería el cáncer de la mama (Þ), con metástasis ganglionares en la axila; no hay que olvidar que este edema del brazo, quizá intermitente en los comienzos, puede ser casi el primer aviso de la enfermedad; por tanto, todo edema del brazo (aun pasajero) en mujeres adultas debe dirigir la atención hacia la mama. Puede no presentarse o aparecer después de la operación radical, por lesión traumática de los linfáticos y, a veces, de las venas, en la axila.
c) Aunque raramente, puede observarse el edema del brazo por trombosis traumática de la vena axilar, producida por esfuerzos, en los trabajadores manuales, apirética; la vena trombosada se palpa en la axila, como un cordón duro (un caso mío en una vieja planchadora).
d) Puede observarse un edema intermitente del brazo por compresiones de la costilla cervical (Þ), sólo diagnosticable a la radiografía.
e) Las inyecciones endovenosas repetidas, la venoclisis de sueros y la permanencia de catéteres son responsables de trombosis, flebitis y edemas braquiales.
3. Edema del miembro inferior:
a) Cuando es bilateral y de presentación aguda, indica una obliteración de la vena cava inferior (compresión por lesiones abdominales o pélvicas, o por tromboflebitis de la cava): (Þ). La simple insuficiencia venosa constitucional, con dilatación difusa, aunque no existan varices visibles, es responsable de edema crónico bilateral, principalmente en mujeres, acentuado por el sedentarismo.
b) Cuando afecta a una sola pierna, hay que suponer una compresión de la vena iliaca correspondiente (tumores o inflamaciones de los órganos genitales femeninos; tumores del recto o de la vejiga; infartos ganglionares pélvicos, tumores renales): (Þ). Otras veces el vaso comprimido es la vena femoral. Especialmente hay que diferenciar este edema simple, mecánico del de la flebitis de la iliaca o de la femoral con la sintomatología de la flegmasía alba dolens (Þ).
c) Finalmente, las varices, cuando son muy acentuadas, producen edema de la pierna; al principio, edema seroso, habitual, que desaparece con el reposo; más tarde, edema permanente, duro debido a linfangitis y celulitis, con frecuencia pigmentado. La insuficiencia venosa, sin varices visibles, explica el edema de piernas en mujeres sedentarias o sujetas a bipedestación prolongada.
d) El lipedema de los grandes obesos, que afecta a ambas piernas, se debe a compresión venosa con distorsión de los vasos por los paquetes adiposos. Suele ser proximal y distal. Contribuye el sedentarismo de estos pacientes.
C) Edemas por obstrucción linfática. La dificultad en la circulación linfática de las extremidades produce el edema de éstas (edema linfático o linfoedema); pero como tal edema linfático se describen otros de patogenia no tan clara, no puramente mecánica. Afecta principalmente a las piernas; más raramente, a los brazos. Se caracteriza por la dureza de la infiltración: la presión del dedo deja una huella no profunda que desaparece rápidamente. Muchas veces adquiere un tamaño enorme, dando lugar a la deformación conocida como elefantiasis (Þ). Es bastante característico que el pie (o la mano) hinchado conserve, poco más o menos, su forma, en tanto que el edema cardiaco o venoso, o nefrítico, produce una dilatación global e informe de la extremidad (pie o manos «como botas», dicen los enfermos). Se distingue un edema linfático primario y uno secundario:
1. Edema linfático primario. Aparece desde el nacimiento o en la pubertad, constituyendo el edema trofoneurótico o trofoedema (Meige). A veces es hereditario y familiar, mucho más frecuente en la mujer (enfermedad de Milroy). Puede ser unilateral o bilateral y anatómicamente está formado por una infiltración colágena de la capa papilar de la dermis, con hialinización secundaria y gran infiltración linfocitaria. Se atribuye a una aplasia o hipoplasia de los linfáticos; en otros casos se observan varices linfáticas con insuficiencia valvular. El edema es rico en proteínas. Pueden asociarse derrames quilosos en pleura o ascitis y uñas amarillas. En algunos casos coincide con la espina bífida (Þ), u otras embriopatías, como alteración del esmalte dentario y uñas, hipertricosis local; o bien determinadas alteraciones endocrinas, quizá también congénitas: hipogenitalismo, cretinismo o hipertiroidismo, éste, muchas veces acompañado de exoftalmos irreductible, tal vez por edema del tejido celular orbitario. También se ha interpretado como una forma crónica del edema angioneurótico (Þ). El diagnóstico, por tanto, se hará teniendo en cuenta la antigüedad del edema, su dureza, la conservación de la forma del pie, su origen juvenil y, a veces, familiar, la ausencia de lesiones circulatorias o renales, la ausencia de inflamaciones crónicas del miembro correspondiente, la posible presencia de malformaciones congénitas. Tal vez el diagnóstico diferencial más difícil es con ciertas lipomatosis difusas de las piernas y los tobillos (Þ). El tamaño que en el trofoedema verdadero alcanza la parte hinchada puede ser tan grande que sea lícito hablar de elefantiasis. Estos edemas suelen ser muy sensibles a las infecciones secundarias; y a consecuencia de ellas puede producirse dermitis induradas, que aumentan el volumen y la firmeza del edema. Esta piel se suele, además, hiperpigmentar.
2. Edema linfático secundario. En este grupo de casos, el edema, generalmente unilateral, se debe, a la obstrucción de los troncos linfáticos correspondientes, o a inflamaciones repetidas de los mismos, que terminan por obstruir su luz:
a) Las causas obstructivas no inflamatorias habituales son:
Compresión de los linfáticos por tumores o cicatrices (son, por ejemplo, relativamente frecuentes en ciertas fracturas de la tibia).
Lesiones profundas destructivas de la piel, como grandes quemaduras o lesiones por rayos X.
Invasión de los vasos y nódulos linfáticos por metástasis cancerosas.
Extirpación quirúrgica de los ganglios linfáticos, sobre todo en los niños (por ejemplo, extirpación de ganglios inguinales o axilares en la linfademia) y especialmente en las mujeres sometidas a mastectomía radical con «toilette» axilar.
b) Las causas obstructivas inflamatorias más comunes son:
La filariosis tropical en la que los parásitos obstruyen los linfáticos y producen enormes elefantiasis de los pies, piernas o muslos y escroto o vulva. Es típica la ascitis y orina quilúricas (Þ y Þ); a veces, nódulos y edemas circunscritos; queratitis. Son datos importantes la intensa eosinofilia y el hallazgo de los parásitos en la sangre y en las lesiones.
Las infecciones habituales repetidas (por ejemplo, las úlceras de los tobillos, varicosas o de cualquier otro origen). Estos focos permanentes responsables pueden ser, como antes he dicho, muy discretos (por ejemplo, una inflamación de las uñas de los pies, inadvertida, en los sujetos sucios o descuidados); hay, por tanto, que buscar estas pequeñas inflamaciones con gran cuidado. El parecido de estos edemas postinflamatorios con el primitivo es muy grande, incluso por el gran tamaño (elefantiasis inflamatoria).
Hay casos de verdaderas elefantiasis debidos a la enfermedad de Besnier-Boeck-Schaumann (Þ).
D) Edema por compresión congénita de los miembros. Se citan casos de edema congénito de las piernas por compresión de la raíz de éstas por anomalías del ligamento iliopúbico de Poupart. Sería muy parecido al edema linfático. Su intensidad, a veces elefantiásica, desde el momento del nacimiento debe dirigir la exploración hacia la posible existencia de estas anomalías.
E) Edema por compresión artificial de los miembros. Son conocidos y fáciles de diagnosticar los edemas de los miembros debidos a compresión externa por aparatos ortopédicos o vendajes mal aplicados. La patología de la simulación cuenta también con casos de edema de brazos o piernas producidos por compresión intencionada de estos miembros.
F) Edemas posturales. Suelen ser de naturaleza circulatoria. Se producen en las siguientes ocasiones:
1. En las personas que han tenido que estar largo tiempo tendidas, por fracturas, enfermedades largas, etc.; al empezar a andar aparecen edemas en las piernas, atribuidos a la pérdida momentánea del mecanismo vasomotor que regula la circulación local.
2. En personas que están largo tiempo en reposo forzoso, en prisioneros, etc.; la falta de ayuda que presta a la circulación la contracción muscular y la dificultad que crea al retorno venoso la flexión prolongada de las piernas, es la causa de estos edemas. También puede incluirse aquí el edema de los viajeros («travellers edema» de los anglosajones) inmovilizados en largos vuelos o trayectos de tren o coche.
3. Una variedad del edema postural es la bola premaleolar (a veces también retromaleolar), que presentan muchas mujeres, sin otra molestia, pero que les suele preocupar mucho, ya por razones de estética ya por aprensión de enfermedades circulatorias. Está evidentemente ligada a la postura del pie por los zapatos de tacón alto y se cura suprimiendo éstos. No es un edema puro; interviene un factor celulítico.
4. En esta categoría deben incluirse los edemas de los trabajadores, descritos en obreros que tras un trabajo muscular intenso, descansan por largo tiempo. La inactividad muscular súbita interviene en la alteración circulatoria.
G) Edemas por alteraciones esqueléticas. Sobre todo en el pie plano, es frecuente el edema circulatorio de los tobillos; a veces, acompañado de varices. El «to
LIPEDEMA
Esto a veces se confunde con Linfedema. En sus primeras fases no hay ningún hinchazón en los pies, estando ambas piernas siempre implicados. El tejido superficial del drenaje linfático es gradualmente afectado por los depósitos de grasa, conllevando a la formación de un verdadero (pero Secundario) Linfoedema. El drenaje linfático profundo, aunque presente, va más lento de lo normal. Se forman depósitos grandes de grasa en las piernas, muslos y nalgas. Haciendo presión sobre la piel a menudo resulta muy doloroso. Puede parecer y tener aspecto de celulitis.'
Inicialmente se hincha y está blanda en la parte inferior de la pierna y muslo, hay dolor en la rodilla y los tejidos se pliegan como un cojín sobre el pie normal. A medida que progreso cualquier Linfoedema asociado, el pie se ve involucrado. El Lipedema puede aparecer en los brazos, pero normalmente con una magnitud menor; la mano como el pie, no está involucradas hasta fases más tardías.
El Tratamiento de la Terapia Física Compleja con Linfodrenaje está rotundamente indicada para los Lipedemas, pero hay que tener en cuenta que las reducciones no son tan grandes como sucede con el Linfoedema ordinario.
Edemas circulatorios.
http://cienciaexplicada.com
Edemas circulatorios. A
diferencia de los inflamatorios, el edema circulatorio (como los renales
y metabólicos) es blando, pálido, indoloro y depresible por el dedo,
que deja en él su huella. Se caracteriza también por la facilidad con
que se generaliza, acompañándose de edema de las cavidades (ascitis,
hidrotórax, hidropericardias) y constituyendo el anasarca, la antigua
hidropesía. En presencia de un edema de este género, localizado o
anasárquico, hay que pensar en las tres posibles causas citadas:
circulatorias, renales, metabólicas y tóxicas, que ahora voy a examinar.
En el edema generalizado hay una fase previa (preedema), en la que la
retención del agua por los tejidos sólo se advierte por leves edemas de
decúbito (un poco aumentados los tobillos por la noche; muy marcadas las
huellas de las sábanas y almohadas en la piel, al despertarse);
párpados hinchados; y sobre todo, por el aumento de peso, sin que se
descubra aún la infiltración edematosa propiamente dicha; por eso en los
cardiacos y nefríticos observados en las clínicas, el estudio de la
curva de peso denuncia, por el aumento de éste, la aparición del
trastorno, antes de que el edema aparezca; y por la pérdida de peso se
acusa la mejoría, antes de que sea visible la fusión de la infiltración.
A) Edemas cardiacos. El edema es, con
frecuencia, uno de los primeros síntomas de la insuficiencia congestiva
del miocardio (Þ). Este edema cardiaco se caracteriza por su
localización inicial en los tobillos. Hay muchos cardiacos que desde
mucho tiempo antes de saber que lo eran, presentaban únicamente esas
pequeñas hinchazones de los pies, al caer de la tarde, antes
mencionadas. La agravación de la insuficiencia cardiaca hace que el
edema se extienda a las piernas, a la región genital —escroto o vulva—
donde se hace muy llamativo; a las paredes del vientre y al resto de la
piel; y, finalmente, a las cavidades (anasarca). En el anasarca y, en
general, en todas las formas intensas y permanentes del edema cardiaco,
pueden colaborar las alteraciones renales concomitantes. Una vez
admitido el origen cardiaco, hay que pasar al diagnóstico diferencial de
las distintas lesiones que pueden producir la insuficiencia miocárdica
derecha o global (Þ). Pero hay que recordar que el «estasis de aflujo»
pericárdico —por constricción o derrame— sin verdadera insuficiencia «de
miocardio», determina también edemas congestivos semejantes. Igualmente
por fibrosis endocárdica.B) Edemas por obstrucción o insuficiencia venosa. Estos edemas se localizan en el territorio correspondiente a la vena obturada o comprimida y se acompañan de dilatación, simple o varicosa, de la vena por debajo del obstáculo. A veces la obstrucción venosa se acompaña de flebitis y el edema tiene los caracteres de la flegmasía alba dolens (Þ). Clínicamente, hay que distinguir el edema venoso de la cara, el de los miembros superiores y el de los miembros inferiores.
1. Edema de la cara. Generalmente, se acompaña de edema del cuello y del hombro (edema en esclavina). Es, más o menos, cianótico; muy cianótico en el corazón pulmonar (Þ). En muchos casos de insuficiencia cardiaca, el edema generalizado puede ser muy marcado en la cara. Pero el edema aislado de la cara es típico de la obstrucción de la vena cava superior por la compresión de lesiones mediastínicas y, mucho más raramente, por trombosis de la vena. Se acompaña de los demás signos del síndrome mediastínico (Þ).
2. Gangrena del miembro superior:
a) El edema de todo el brazo y el hombro y parte del cuello se debe a la obliteración de la vena innominada del lado correspondiente, por las mismas causas que la obstrucción de la vena cava (procesos mediastínicos, trombosis).
b) Ante el edema estrictamente localizado en el brazo hay que buscar la causa en la compresión u obstrucción de la vena axilar; la más importante causa sería el cáncer de la mama (Þ), con metástasis ganglionares en la axila; no hay que olvidar que este edema del brazo, quizá intermitente en los comienzos, puede ser casi el primer aviso de la enfermedad; por tanto, todo edema del brazo (aun pasajero) en mujeres adultas debe dirigir la atención hacia la mama. Puede no presentarse o aparecer después de la operación radical, por lesión traumática de los linfáticos y, a veces, de las venas, en la axila.
c) Aunque raramente, puede observarse el edema del brazo por trombosis traumática de la vena axilar, producida por esfuerzos, en los trabajadores manuales, apirética; la vena trombosada se palpa en la axila, como un cordón duro (un caso mío en una vieja planchadora).
d) Puede observarse un edema intermitente del brazo por compresiones de la costilla cervical (Þ), sólo diagnosticable a la radiografía.
e) Las inyecciones endovenosas repetidas, la venoclisis de sueros y la permanencia de catéteres son responsables de trombosis, flebitis y edemas braquiales.
3. Edema del miembro inferior:
a) Cuando es bilateral y de presentación aguda, indica una obliteración de la vena cava inferior (compresión por lesiones abdominales o pélvicas, o por tromboflebitis de la cava): (Þ). La simple insuficiencia venosa constitucional, con dilatación difusa, aunque no existan varices visibles, es responsable de edema crónico bilateral, principalmente en mujeres, acentuado por el sedentarismo.
b) Cuando afecta a una sola pierna, hay que suponer una compresión de la vena iliaca correspondiente (tumores o inflamaciones de los órganos genitales femeninos; tumores del recto o de la vejiga; infartos ganglionares pélvicos, tumores renales): (Þ). Otras veces el vaso comprimido es la vena femoral. Especialmente hay que diferenciar este edema simple, mecánico del de la flebitis de la iliaca o de la femoral con la sintomatología de la flegmasía alba dolens (Þ).
c) Finalmente, las varices, cuando son muy acentuadas, producen edema de la pierna; al principio, edema seroso, habitual, que desaparece con el reposo; más tarde, edema permanente, duro debido a linfangitis y celulitis, con frecuencia pigmentado. La insuficiencia venosa, sin varices visibles, explica el edema de piernas en mujeres sedentarias o sujetas a bipedestación prolongada.
d) El lipedema de los grandes obesos, que afecta a ambas piernas, se debe a compresión venosa con distorsión de los vasos por los paquetes adiposos. Suele ser proximal y distal. Contribuye el sedentarismo de estos pacientes.
C) Edemas por obstrucción linfática. La dificultad en la circulación linfática de las extremidades produce el edema de éstas (edema linfático o linfoedema); pero como tal edema linfático se describen otros de patogenia no tan clara, no puramente mecánica. Afecta principalmente a las piernas; más raramente, a los brazos. Se caracteriza por la dureza de la infiltración: la presión del dedo deja una huella no profunda que desaparece rápidamente. Muchas veces adquiere un tamaño enorme, dando lugar a la deformación conocida como elefantiasis (Þ). Es bastante característico que el pie (o la mano) hinchado conserve, poco más o menos, su forma, en tanto que el edema cardiaco o venoso, o nefrítico, produce una dilatación global e informe de la extremidad (pie o manos «como botas», dicen los enfermos). Se distingue un edema linfático primario y uno secundario:
1. Edema linfático primario. Aparece desde el nacimiento o en la pubertad, constituyendo el edema trofoneurótico o trofoedema (Meige). A veces es hereditario y familiar, mucho más frecuente en la mujer (enfermedad de Milroy). Puede ser unilateral o bilateral y anatómicamente está formado por una infiltración colágena de la capa papilar de la dermis, con hialinización secundaria y gran infiltración linfocitaria. Se atribuye a una aplasia o hipoplasia de los linfáticos; en otros casos se observan varices linfáticas con insuficiencia valvular. El edema es rico en proteínas. Pueden asociarse derrames quilosos en pleura o ascitis y uñas amarillas. En algunos casos coincide con la espina bífida (Þ), u otras embriopatías, como alteración del esmalte dentario y uñas, hipertricosis local; o bien determinadas alteraciones endocrinas, quizá también congénitas: hipogenitalismo, cretinismo o hipertiroidismo, éste, muchas veces acompañado de exoftalmos irreductible, tal vez por edema del tejido celular orbitario. También se ha interpretado como una forma crónica del edema angioneurótico (Þ). El diagnóstico, por tanto, se hará teniendo en cuenta la antigüedad del edema, su dureza, la conservación de la forma del pie, su origen juvenil y, a veces, familiar, la ausencia de lesiones circulatorias o renales, la ausencia de inflamaciones crónicas del miembro correspondiente, la posible presencia de malformaciones congénitas. Tal vez el diagnóstico diferencial más difícil es con ciertas lipomatosis difusas de las piernas y los tobillos (Þ). El tamaño que en el trofoedema verdadero alcanza la parte hinchada puede ser tan grande que sea lícito hablar de elefantiasis. Estos edemas suelen ser muy sensibles a las infecciones secundarias; y a consecuencia de ellas puede producirse dermitis induradas, que aumentan el volumen y la firmeza del edema. Esta piel se suele, además, hiperpigmentar.
2. Edema linfático secundario. En este grupo de casos, el edema, generalmente unilateral, se debe, a la obstrucción de los troncos linfáticos correspondientes, o a inflamaciones repetidas de los mismos, que terminan por obstruir su luz:
a) Las causas obstructivas no inflamatorias habituales son:
Compresión de los linfáticos por tumores o cicatrices (son, por ejemplo, relativamente frecuentes en ciertas fracturas de la tibia).
Lesiones profundas destructivas de la piel, como grandes quemaduras o lesiones por rayos X.
Invasión de los vasos y nódulos linfáticos por metástasis cancerosas.
Extirpación quirúrgica de los ganglios linfáticos, sobre todo en los niños (por ejemplo, extirpación de ganglios inguinales o axilares en la linfademia) y especialmente en las mujeres sometidas a mastectomía radical con «toilette» axilar.
b) Las causas obstructivas inflamatorias más comunes son:
La filariosis tropical en la que los parásitos obstruyen los linfáticos y producen enormes elefantiasis de los pies, piernas o muslos y escroto o vulva. Es típica la ascitis y orina quilúricas (Þ y Þ); a veces, nódulos y edemas circunscritos; queratitis. Son datos importantes la intensa eosinofilia y el hallazgo de los parásitos en la sangre y en las lesiones.
Las infecciones habituales repetidas (por ejemplo, las úlceras de los tobillos, varicosas o de cualquier otro origen). Estos focos permanentes responsables pueden ser, como antes he dicho, muy discretos (por ejemplo, una inflamación de las uñas de los pies, inadvertida, en los sujetos sucios o descuidados); hay, por tanto, que buscar estas pequeñas inflamaciones con gran cuidado. El parecido de estos edemas postinflamatorios con el primitivo es muy grande, incluso por el gran tamaño (elefantiasis inflamatoria).
Hay casos de verdaderas elefantiasis debidos a la enfermedad de Besnier-Boeck-Schaumann (Þ).
D) Edema por compresión congénita de los miembros. Se citan casos de edema congénito de las piernas por compresión de la raíz de éstas por anomalías del ligamento iliopúbico de Poupart. Sería muy parecido al edema linfático. Su intensidad, a veces elefantiásica, desde el momento del nacimiento debe dirigir la exploración hacia la posible existencia de estas anomalías.
E) Edema por compresión artificial de los miembros. Son conocidos y fáciles de diagnosticar los edemas de los miembros debidos a compresión externa por aparatos ortopédicos o vendajes mal aplicados. La patología de la simulación cuenta también con casos de edema de brazos o piernas producidos por compresión intencionada de estos miembros.
F) Edemas posturales. Suelen ser de naturaleza circulatoria. Se producen en las siguientes ocasiones:
1. En las personas que han tenido que estar largo tiempo tendidas, por fracturas, enfermedades largas, etc.; al empezar a andar aparecen edemas en las piernas, atribuidos a la pérdida momentánea del mecanismo vasomotor que regula la circulación local.
2. En personas que están largo tiempo en reposo forzoso, en prisioneros, etc.; la falta de ayuda que presta a la circulación la contracción muscular y la dificultad que crea al retorno venoso la flexión prolongada de las piernas, es la causa de estos edemas. También puede incluirse aquí el edema de los viajeros («travellers edema» de los anglosajones) inmovilizados en largos vuelos o trayectos de tren o coche.
3. Una variedad del edema postural es la bola premaleolar (a veces también retromaleolar), que presentan muchas mujeres, sin otra molestia, pero que les suele preocupar mucho, ya por razones de estética ya por aprensión de enfermedades circulatorias. Está evidentemente ligada a la postura del pie por los zapatos de tacón alto y se cura suprimiendo éstos. No es un edema puro; interviene un factor celulítico.
4. En esta categoría deben incluirse los edemas de los trabajadores, descritos en obreros que tras un trabajo muscular intenso, descansan por largo tiempo. La inactividad muscular súbita interviene en la alteración circulatoria.
G) Edemas por alteraciones esqueléticas. Sobre todo en el pie plano, es frecuente el edema circulatorio de los tobillos; a veces, acompañado de varices.
El «tobillo grueso», que tanto mortifica a las mujeres jóvenes, se debe muchas veces a esta causa.
No hay comentarios:
Publicar un comentario